微影医生是专业医疗影像诊断应用,为医生和医疗工作者打造。支持多种影像格式,有缩放旋转等功能,云端存储共享,界面简洁操作便捷,由资深团队研发,功能全面,亮点众多,获用户好评。
在选择医院时,很多人会感到迷茫。微影医生这款专业的医疗影像诊断应用或许能帮到你。它专为医生和医疗工作者打造,支持 DICOM、JPEG 等多种医学影像格式,有缩放、旋转、对比度调节等功能,方便外出或值班时精准诊断。其云端存储与共享助力多科室协作,提升诊疗效率。界面简洁直观,操作便捷。对于患者来说,借助微影医生相关资源,能更了解医院的影像诊断实力。比如通过它能看到医院影像设备是否先进,医生处理影像的能力如何。这有助于患者选择在影像诊断方面更具优势的医院,让诊断更准确、高效,从而为后续治疗提供有力保障,解决患者在选医院时对其影像诊断能力缺乏了解的困扰,带来极大的便利。

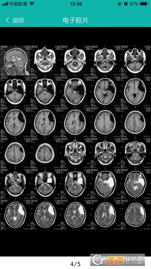
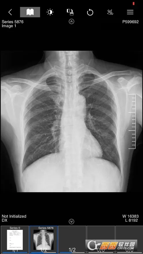
1. 格式兼容多样:支持 DICOM、JPEG 等多种医学影像格式,能完整呈现各类影像数据,确保诊断信息准确无误。
2. 智能算法高效:借助先进智能算法,可快速加载高分辨率影像,支持多窗格显示、三维重建等专业功能,满足复杂临床场景。
3. 云端协作便捷:通过云端同步技术,医生能随时随地调阅患者资料,实现跨设备跨平台无缝协作,提升诊疗效率。
4. 数据安全保障:采用多重加密机制,严格保护患者隐私,为门诊、急诊及远程会诊等提供坚实技术支撑。
1. 多种格式支持:全面兼容 DICOM、JPEG 等主流医学影像格式,确保能处理各类影像数据。
2. 智能算法助力:借助先进智能算法,可快速加载高分辨率影像,支持多窗格显示、三维重建等专业功能,满足复杂临床需求。
3. 云端存储共享:通过云端同步技术,医生能随时随地调阅患者资料,实现跨设备跨平台无缝协作,促进多科室协同工作。
4. 安全隐私保障:采用多重加密机制,严格保护患者隐私,为各类应用场景提供坚实技术支撑。
用户对这款应用评价颇高。其操作体验流畅,广受称赞。专业医生认可它全面的临床功能,影像加载速度在同类产品中领先,云端协作功能也备受好评。人性化的界面设计易于上手,可靠的数据保护赢得了信任。精准的三维重建助力复杂诊断,还能定期更新保持竞争力。新增智能标注工具简化了诊断流程,优化算法使影像加载提速,修复设备兼容性问题提升稳定性,新增多语言支持满足国际需求,改进云端同步机制提高传输效率,增强患者信息加密保护隐私,优化三维重建效果提升清晰度,调整界面细节改善操作体验。